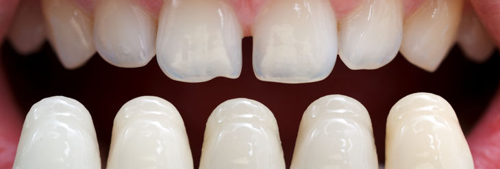
Carillas Dentales
Son láminas muy delgadas y finas de cerámica ó composite que se adhieren en la cara visible del diente. Básicamente es para mejorar la estética, si los dientes están amarillentos ó tienen manchas.

También se pueden usar para cubrir otras imperfecciones o cambiar la forma de los mismos, alinear dientes apiñados, igualarlos, alargarlos si son cortos, cerrar espacios y revitalizar coronas o puentes antiguos. Este tratamiento es muy eficaz, duradero y tiene un gran impacto estético, normalmente se colocan en los dientes anteriores superiores e inferiores, lo que se denomina frente estético.
Hay tres tipos de carillas: porcelana feldespática, cerámica y resina.
Porcelana Feldespática
Son prensadas y reforzadas con nano-cristales de leucita. Son las mas finas de todas, no requieren preparación anterior a su colocación y son las más caras. Sólo bastan dos visitas para mejorar la sonrisa del paciente, en la primera se toman los moldes y el color y en la segunda, se colocan. Son las Lumineers.
Cerámica
Ya hace tiempo que se utilizan pero actualmente están muy mejoradas, suelen ser de disilicato de litio o feldespáticas. Son las más elegidas por los pacientes ya que la cerámica imita el brillo translúcido de los dientes naturales y los hace parecer más jóvenes.
Son más resistentes que las de resina a las manchas, no se desgastan con el tiempo y mantienen su brillo y color intactos por mucho tiempo. Normalmente y si no hay complicaciones, estas carillas se colocan en dos sesiones.
Resina
Son las más económicas y la ventaja es que se adhieren bien a obturaciones o reconstrucciones antiguas. Prácticamente no es necesario reducir el diente, se pueden colocar en una sola cita (carillas directas) ó en dos citas (carillas indirectas) y son de composite, se confeccionan en clínica colocando el material de resina sobre la superficie de los dientes, dándole la forma y acabado deseados. El problema es que son más propensas a mancharse y tienen una vida media menor que las de cerámica.
¿ Se pueden colocar en cualquier paciente ?
No es aconsejable la colocación de carillas en pacientes con bruxismo ó apretamiento excesivo de los dientes, pacientes que padezcan alguna enfermedad en las encías como periodontitis ó gingivitis activas y en pacientes que aún no hayan desarrollado completamente su dentadura.
Un profesional con experiencia en cosmética dental deberá determinar la colocación de carillas en cada caso en particular y si éstas no se adecúan, podrá ofrecerle tratamientos alternativos. Se pueden hacer simulaciones por ordenador ó con maqueta dental para que el paciente pueda visualizar su futura sonrisa.
Aunque llevarlas es mucho más frecuente de lo que nos imaginamos y no es un tratamiento nuevo, pero si mejorado.
Las carillas son una muy buena solución para aquellos pacientes con dientes fracturados o astillados, dientes pequeños o con espacios interdentales, desiguales y con formas poco estéticas y ligeras malposiciones.
También son apropiadas cuando hay dientes descoloridos, manchados ó envejecidos y que no pueden ser tratados con blanqueamiento, dientes dañados por personas que han padecido bulimia (erosión ácida).
¿ Cuántas visitas necesitamos para completar la colocación ?
Una vez decidido el tratamiento a seguir y las carillas a utilizar, si es necesario en una segunda visita se prepara la superficie del diente puliendo las irregularidades ó bien para eliminar una fina capa de esmalte pero nunca todo. Luego se toman las impresiones y el color para la elaboración de las carillas. Finalmente en la última visita se pegan las carillas a los dientes haciendo los ajustes necesarios para cada caso.
